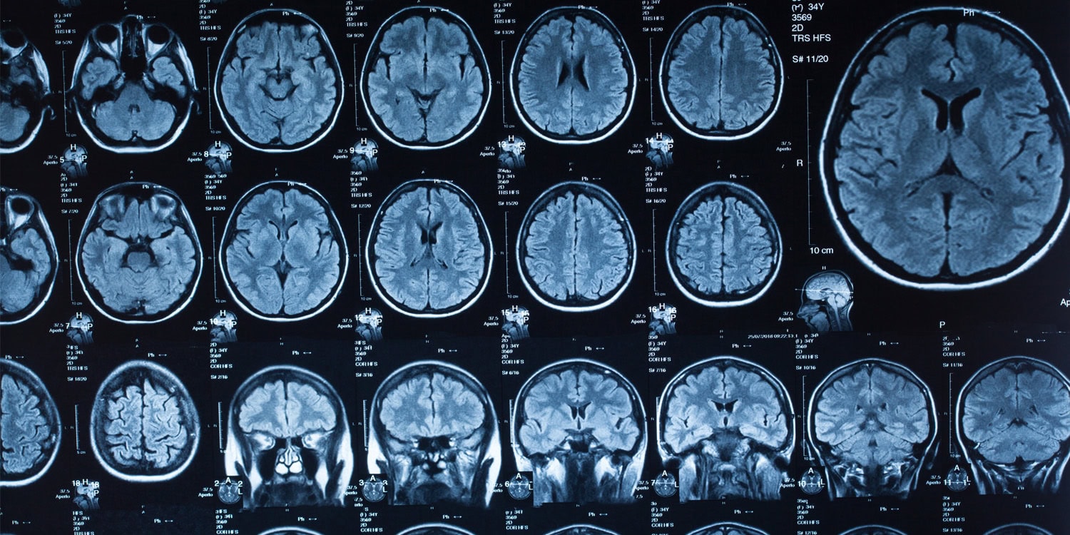
New research shows that people with strong political beliefs react more emotionally to political content. Brain activity patterns were similar among ideological extremists, whether liberal or conservative, suggesting that emotion plays a central role in how extreme views take hold.
A new study suggests that people with strongly held political beliefs, whether liberal or conservative, tend to process political content in strikingly similar ways at a neurological level. The findings, published in the Journal of Personality and So... [8813 chars]

